各部門の紹介
手術室

昨今、早期離床、早期社会復帰を目的とした低侵襲手術の採用が一般的になりつつあり、低侵襲手術の次世代の術式として、コンピュータやロボットを用いた外科手術が世間に少しずつ浸透してきております。このような時代の流れの中、当院におきましても、患者さんの安全な低侵襲手術を提供するとともに、最先端の医療機器である術中撮影装置『O-arm2』と手術支援装置のナビゲーションシステム『StealthStation S7』を2016年7月より運用を開始しました。 O-arm とナビゲーションシステムを連動させた整形外科手術は群馬県初の導入(2016年現在)となります。 O-armとは可動式CTで、これから得られた3Dデータを用いてリアルタイムに様々な断層像を映し出し、これまで確認しにくかった箇所まで手術中に得られるようになりました。
整形外科領域
O-arm2 + StealthStation S7
術者の技術や経験に依るところが大きかった従来法から、ナビゲーションシステムを用いた術式を採用することによって、個々で異なる解剖学的構造をリアルタイムで把握しながら安全に手術をすることができるようになりました。
タップ(仮穴)で決めた角度を同心円で表しナビゲート
多彩なアプリケ-ションやインスツルメントを取り揃え、多様化する手術手技を支援します。
呼吸器外科領域
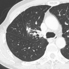
O-arm2 一例として、触知不能肺腫瘍であるすりガラス状結節に対して、位置の把握のためにO-armを使い、手術中に撮像することにより、より精度の高い手術が行えるようになりました。
- 術前
- 術中
- 術後
脳外科領域
CT+MRI+Angio+ StealthStation S7 複数装置の画像を利用してナビゲートができるようになりました。
装置
- O-arm2 イメージングシステム (日本メドトロニック)
- Stealth Station S7 (日本メドトロニック)
- スパイナルシステム(アレン社)
- OEC One (GEヘルスケアジャパン)
- OPE SCOOPE PLENO (島津製作所)
- SIREMOBIL Iso-C (シーメンスヘルスケア)
